From Crowded and Worn to Confident and Healthy: Betty’s Clear Aligner Transformation
The Challenge:
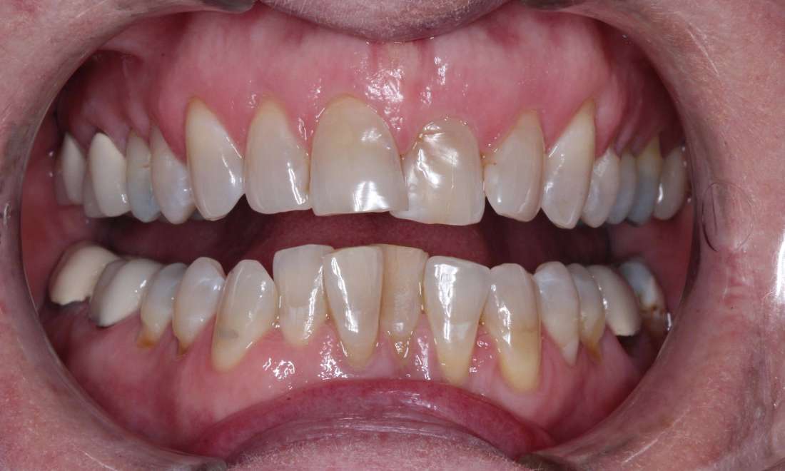
Betty had been self-conscious about her smile for decades. Crowded, crooked teeth made daily hygiene difficult and had contributed to periodontal disease. To make matters worse, her deep bite was wearing down her front teeth and compromising both function and esthetics. She finally decided it was time for a change—but only if it could be done in a way that protected her long-term health.
The Options:
During her consultation at Raleigh Dental Arts, we started with a deep “catch-up” cleaning to stabilize her gum health. Then, we discussed treatment options to correct her bite and improve her smile. Clear aligner therapy was the clear winner—minimally invasive, effective, and perfect for achieving the functional, esthetic result Betty was looking for.
The Transformation:
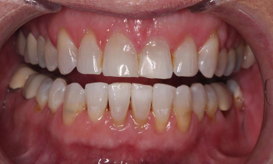
Over the next 18 months, Betty’s teeth gradually shifted into a healthier, more balanced position. Her front teeth no longer showed signs of stress and wear, and her bite now supports long-term oral health. Our team was there every step of the way, guiding her with personalized check-ins and support. Today, Betty maintains her smile beautifully with retainers—and she's thrilled every time she sees her reflection.
Why Clear Aligners Were the Right Choice:
For patients like Betty who struggle with crowding, deep bites, or periodontal concerns, clear aligners offer a discreet, comfortable way to restore harmony to the bite and esthetics to the smile. At Raleigh Dental Arts, our holistic approach ensures that each treatment decision supports both beauty and long-term wellness.
Ready to Love Your Smile Again?
If you’re struggling with crowded teeth, gum health, or an uncomfortable bite, clear aligners might be your best next step. Book a consultation at Raleigh Dental Arts and find out how we can help you achieve a confident, healthy smile—just like Betty did.
After decades of disliking her crowded smile, Betty turned to Raleigh Dental Arts for help. Clear aligners corrected her deep bite and improved her periodontal health. In just 18 months, she achieved a beautiful, healthy result—one she proudly maintains with retainers. She finally loves her smile again.

